Месяц будут прятать от публики: в каком состоянии находится Кадыров-младший после ДТП, — СМИ»>

Адам Кадыров мог сломать челюсть в ДТП Адам Кадыров с отцом | Пресс-служба главы Чечни

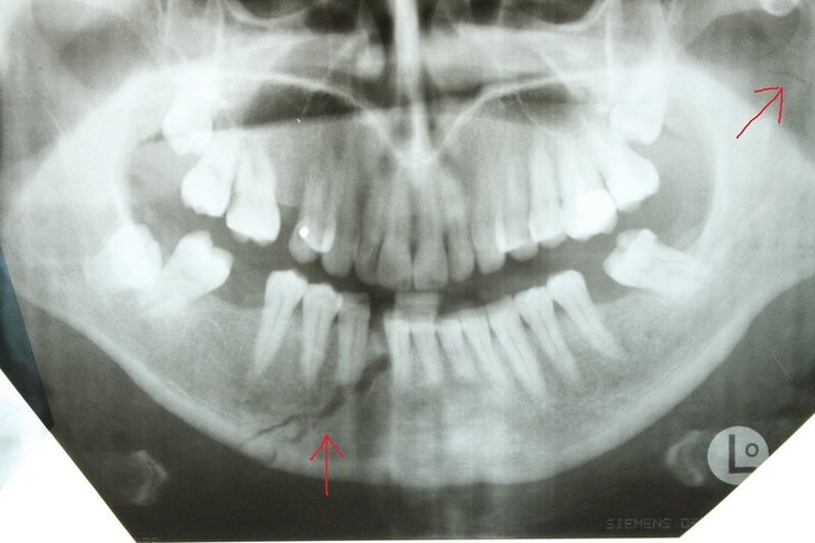
Сын главы Чечни Рамзана Кадырова Адам Кадыров мог сломать челюсть, когда попал в ДТП. Кроме этого, он имеет еще ряд менее значительных травм.

Авария произошла несколько дней назад. О последствиях сообщает чеченский оппозиционный Telegram-канал NIYSO.

Авторы отмечают, что характерный для такой травмы отек лица спадает лишь через 1-2 недели. А на то, чтобы снять фиксацию челюсти, понадобится примерно месяц.

Сломанная в результате ДТП челюсть Адама Кадырова сломана в результате ДТП Челюсть Адама Кадырова NIYSO

Также в результате аварии у Кадырова-младшего могли появиться рваные раны, рассечения, разрывы кожи и гематомы. Из-за этого может понадобиться еще несколько недель, чтобы скрыть последствия аварии.

Оппозиционеры отмечают, что план россиян по состоянию на сейчас, вероятно, заключается в том, чтобы скрыть факт ДТП, «периодически публикуя консервы» (заготовленные видео — ред.)

Відео дня

А после того, как Адам Кадыров выздоровеет, его выпустят на публику и продолжат делать вид, будто ничего не было.

Авария Адама Кадырова — что известно

Напомним, что 16 января Фокус сообщал о том, что Адам Кадыров попал в аварию, после чего находится в тяжелом состоянии. Из-за ДТП, в частности, перекрывали часть Грозного.

Впоследствии появилась информация о транспортировке санитарным бортом Адама Кадырова в Москву. Борт самого Рамзана Кадырова приземлился в Москве вслед за ним.

СМИ выяснили, что Адам Кадыров госпитализирован в больницу имени Боткина в Москве. Медучреждение специализируется в том числе на трансплантации органов.

Пытаясь развеять информацию СМИ, глава Чечни Рамзан Кадыров показал Адама «на совещании» после ДТП. Журналисты обратили внимание, что соратник Путина опубликовал фейковую информацию — видео заседания, на котором присутствовал Адам Кадыров, было записано накануне аварии.

Позже канал NIYSO сообщил, что главная версия по состоянию на сейчас — ДТП произошло из-за потери управления, к чему привели препятствие на дороге и чрезмерно высокая скорость. Машины в кортеже начали биться друг о друга.

Также чеченские силовики проверяли мобильные телефоны работников Республиканской клинической больницы скорой помощи, куда доставили пострадавшего. Медицинский персонал также предупредили о возможных последствиях общения с журналистами и оппозиционными пабликами.

  • Related Posts

    6500 км от Украины: в РФ горит единственный завод, где производят истребители Су-35 и Су-57 (видео)»>

    В городе Комсомольск-на-Амуре горит авиационный завод | Скриншот Пожар произошел в 6500 км от Украины, в городе Комсомольск-на-Амуре в Хабаровском крае. OSINT-сообщество «КиберБорошно» геолоцировало место пожара, после того, как в…

    Мадьяр получил конституционное большинство в Венгрии: официальные результаты подсчета почти 100% бюллетеней»>

    Петер Мадьяр перед венгерскими избирателями | Facebook После подсчета почти 100% бюллетеней уверенную победу на парламентских выборах в Венгрии одерживает оппозиционная партия «Тиса» во главе с Петером Мадьяром. Они получают…

    Добавить комментарий

    Ваш адрес email не будет опубликован. Обязательные поля помечены *

    You Missed

    Все полеты космонавтов на МКС могут стать годовыми: в Роскосмосе обсуждают плюсы и минусы перехода на новый график

    • 3 views
    Все полеты космонавтов на МКС могут стать годовыми: в Роскосмосе обсуждают плюсы и минусы перехода на новый график

    Названо идеальное условие для размножения неуязвимой для лекарств супербактерии

    • 3 views
    Названо идеальное условие для размножения неуязвимой для лекарств супербактерии

    Ученые раскрыли тягостные последствия жизни на Луне для человека

    • 3 views
    Ученые раскрыли тягостные последствия жизни на Луне для человека

    6500 км от Украины: в РФ горит единственный завод, где производят истребители Су-35 и Су-57 (видео)»>

    • 8 views
    6500 км от Украины: в РФ горит единственный завод, где производят истребители Су-35 и Су-57 (видео)»>

    Мадьяр получил конституционное большинство в Венгрии: официальные результаты подсчета почти 100% бюллетеней»>

    • 7 views
    Мадьяр получил конституционное большинство в Венгрии: официальные результаты подсчета почти 100% бюллетеней»>

    Ранее обещал помощь России: у Израиля появился неожиданный союзник»>

    • 6 views
    Ранее обещал помощь России: у Израиля появился неожиданный союзник»>